فهرست موضوعی وبلاگ
مطالب جدید وبلاگ
سینوزیت: علائم، تشخیص، درمان
سینوزیت: علائم، تشخیص، درمان
حمله سینوزیت:

درد ناحیه پیشانی یا بین چشم ها، درد دندان های فوقانی، احساس پری در صورت و گرفتگی بینی می توانند به علت یکی از شایع ترین علل مراجعه به مطب پزشکان باشند: سینوزیت
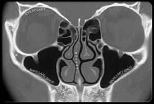
سینوس ها، حفره های هوایی در داخل سر:

سینوس ها فضاهای پر ازهوایی در داخل جمجمه شما هستند که با غشاهای مخاطی پوشیده شده اند. شما چهار سری سینوس دارید: سینوس های پیشانی در بالای چشم ها، دو سینوس فکی در پشت استخوانهای گونه دو طرف، سینوس های اتمویید: 18-22 حفره مثل کندوی عسل پشت پل بینی، سینوس های اسفنوئید پشت بینی و زیرمغز .
سینوس ها مثل اثر انگشت در هر شخص با دیگران متفاوتند.
سینوزیت چیست؟

ساختمان های کوچک شبیه مو به نام مژک ها (cilia) که در اینجا بزرگنمایی شده اند کمک میکنند تا ترشحات مخاطی از روی پوشش داخلی سینوس به سمت یک خروجی حرکت کنند. تمام سینوس های شما به داخل بینی راه می یابند تا تبادل هوا و ترشحات مخاطی امکان پذیر باشد.عفونت یا آلرژي بافت های سینوس را ملتهب، قرمز، و متورم می کند. این حالت سینوزیت نامیده میشود.
در ابتدا …فقط یک سرماخوردگی:

سینوزیت معمولا” با التهاب ناشی از سرماخوردگی، حساسیت، یا محرک ها شروع می شود اما ممکن است به اینجا ختم نشود.سرما خوردگی، حساسیت، و محرک ها باعث تورم بافت های سینوس می شوند.
گرفتگی، تورم، و درد:

سینوزیت باعث ناراحتی های زیادی میشود. بسیاری از مردم گرفتگی بینی و درد یا احساس فشار در نقاط متعدد صورت یا دندان ها دارند. معمولا” ترشح بینی وجود دارد که ممکن است زرد، سبز، یا روشن باشد. علائم دیگر ممکن است شامل بیحالی، کاهش حس بویایی و/ یا چشایی، سرفه، گلودرد، بوی بد دهان، سردرد، درد هنگام خم شدن به جلو و تب باشند.
سینوزیت مزمن:

در این عکس MRI رنگی، نواحی آبی نشان دهنده پوشش مخاطی ضخیم شده در سینوس های فکی هستند. التهاب حفره سینوس اگر بیشتر از 3 ماه طول بکشد، سینوزیت مزمن است.اگرچه باکتری ها اغلب در سینوس های بسته شده تجمع می یابند، ولی در عفونت های باکتریایی تنها علت سینوزیت مزمن نیستند.اشکالات ساختمانی، حساسیت ها، پولیپ ها، نقائص سیستم ایمنی، و بیماری های دندانی هم ممکن است موجب مشکلات مزمن سینوس شوند.
پولیپ های بینی:

وقتی که سینوس ها ملتهب باقی می مانند، پوشش مخاطی سینوس ممکن است ضخیم شده و ورم کنند. این تورم ممکن است آن قدر زیاد باشد که توده های انگور مانندی تولید کند که به آن ها پولیپ می گوییم. پولیپ ها ممکن است از سینوس ها وارد شده و به طور ناقص یا کامل راه هوایی بینی را ببندند.
قطره های ضد گرفتگی بینی، تسکین پر هزینه:

این قطره ها یا اسپری ها راه هوایی متورم بینی را باز کرده و اجازه میدهند تا سینوس ها تخلیه شوند، به خصوص در بدترین روزهای سرماخوردگی یا در مسافرت های هوایی. اما شما فقط باید برای چند روز از آن ها استفاده کنید. بعد از آن اثر آن ها برعکس شده و باعث تورم و بسته شدن مجدد راه بینی می شوند. بنابراین از آن ها نمی توان برای مدت طولانی استفاده کرد. قرص های خوراکی ضد احتقان ممکن است کمک کننده باشند، اما آن ها هم عوارض جانبی دارند. راه حل های بهتر برای سینوزیت حاد: اسپری های استروئیدی بینی یا اسپری های سالین یا شستشو با سرم نمکی. اگر علائم باقی ماندند به پزشکتان مراجعه نمایید. علائم سینوزیت مزمن ممکن است به علت انحراف تیغه بینی یا وضعیت های قابل درمان دیگر ایجاد شوند.
آنتی بیوتیک ها معمولا” لازم نیستند:

سرماخوردگی معمولا” یک عفونت ویروسی است. سرماخوردگی ها می توانند موجب علائم سینوزیت شوند ولی این ها معمولا” خود به خود رفع می شوند.آنتی بیوتیک ها ویروس ها را درمان نمیکنند بنابراین به علائم سینوسی ناشی از سرماخوردگی کمکی نمی کنند. علائم سرماخوردگی معمولا” در طی یک تا دو هفته از بین می روند. معمولا” سینوزیت ناشی از سرماخوردگی هم در این زمان از بین می رود. در این جا یک تصویر رنگی از یک ویروس سرماخوردگی به نام رینوویروس می بینید.
درمان سینوزیت ناشی ار آلرژی:

شستشوی بینی با محلول سرم نمکی می تواند در بهبود سینوزیت ناشی از آلرژی موثر باشد. اسپری های استروئیدی بینی هم ممکن است در ناراحتی های سینوسی ناشی از حساسیت موثر باشند. آنتی هیستامین ها هم ممکن است کمک کننده باشند، به خصوص در موارد عطسه و آبریزش بینی.
چه زمانی به پزشک مراجعه کنیم؟

ترشح زرد یا سبز می تواند به معنی عفونت باکتریایی باشد. حتی در این مورد، سینوزیت حاد باکتریایی معمولا” در طی یک تا دو هفته از بین میرود. اگر احساس میکنید رو به بهبودی نیستید و علائم پایدار و شدید هستند یا اینکه تب دارید، وقت ملاقات با پزشک فرا رسیده است.
درمان سینوزیت مزمن هنوز یک معضل است:

درمان سینوزیت مزمن مشکل است. قدم اول کنترل عوامل مستعد کننده مثل رفع محرک های محیطی است. برای بهبودی علائم، پزشکان اسپری های استروئیدی بینی یا آنتی بیوتیک تجویز می کنند اما در مطالعات دقیق کارآمدی هیچکدام از این ها ثابت نشده است. جراحی آندوسکوپیک سینوس حداقل بهبودی متوسطی را موجب می شود اما این اولین قدم درمانی نیست.
عوارض سینوزیت، بدترین حالات ممکن:

فقط یک لایه نازک استخوان سینوس های شما را از مغزتان جدا می کند. اگر عفونت سینوس از استخوان بگذرد می تواند باعث عفونت پوشش مغز- مننژیت- شود یا حتی خود مغز دچار عفونت شود. هر دو مورد خطر جانی دارند. همچنین امکان گسترش عفونت به کاسه چشم و عفونت دور چشم و کوری احتمالی وجود دارد. عوارض با شدت کمتر عبارتند از حملات آسم و از بین رفتن حس بویایی یا چشایی.
پیشگیری از سینوزیت:

هیچ راه مطمئنی برای اجتناب از سینوزیت حاد یا مزمن وجود ندارد، اما رعایت نکات زیر ممکن است کمک کننده باشند:
سینوس ها را مرطوب نگاه دارید.
ازاسپری های سالین یا شستشوی بینی استفاده کنید.
از محیط های خیلی خشک اجتناب کنید.
از مواد محرک مثل دود سیگار یا بوهای شیمیایی قوی دوری کنید.